Why would you need a crown? When is it necessary to get a crown?
Whether it’s decay, damage, or repeated repairs—we’ll restore your tooth with strength and beauty.
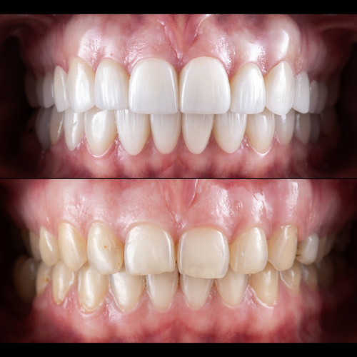
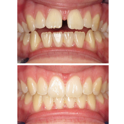
A dental crown is a durable, tooth-shaped cap placed over a damaged or weakened tooth to restore its shape, function, and appearance. At Smiles by Dr. Shawn in Woodland Hills, we use high-quality materials and advanced digital dentistry to create same-day cosmetic crowns—so you can walk in with a problem and leave with a solution.
Crowns are typically recommended when a tooth:
• Has been damaged by repeated fillings or decay
• Is fractured, worn down, or structurally unstable
• Requires protection after a root canal
• Needs cosmetic reshaping or color correction
When a tooth can no longer withstand everyday stress due to repeated repairs or structural breakdown, a crown can preserve it—removing only the weak areas and replacing them with a strong, customized restoration.
Thanks to our in-office technology, many crowns can be designed, fabricated, and placed in just one visit. For more complex cases requiring lab-crafted crowns, the process typically takes two visits to ensure optimal fit and aesthetics. We’ll take precise digital impressions and send them to our trusted lab, where your crown is carefully sculpted, hardened, and shaded to match your natural teeth.
Once it returns to our office, Dr. Shawn Hosseini will ensure a perfect fit and bond the crown in place, so it feels and functions like your natural tooth.
If you’ve been told you need a crown—or think you might—schedule your consultation at our Woodland Hills office or call us at 818-225-1630. We’ll help you protect your tooth and restore your confidence—all in one place.








